A Bride’s Pre-Wedding Smile Checklist
Before the Big Day, it’s imperative that the new age bride and grooms take care to look their best. Since the Big Day will come, you and your smile will be the centre of all attention and the photos and videos will record memories for many years to come.
If you are conscious of the way your teeth look for your wedding, then you’ll need to add some dental appointments to your to-do list. Whether it’s a change in colour, shape or alignment, your dentist can provide you various options. Some cosmetic dental treatments can take longer than a few weeks, so you’ll want to be sure that you get that desired smile within the time frame you have.
We have listed down some of the common issues that our brides have faced and the time you will need to bedazzle your smile on your BIG DAY !!!

1 WEEK – 1 MONTH
1. Boring Smile
Tooth jewellery is a fun trend that has picked up in India. The process involves sticking on your tooth a flat gemstone of any shape and colour that u choose.Contrary to the popular belief there’s absolutely no drilling or damage to your teeth. And what you end up with is a sparkle in your smile!

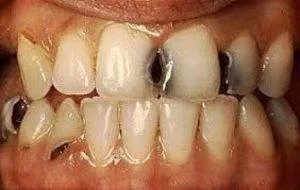
2. Yellow/ brown/black colour smile
Bleaching helps lighten teeth that have been stained, discoloured or darkened which cannot be removed with a regular cleanup. Brides and grooms don’t mind taking that extra step to make sure to flaunt the brightest smile on your big day. Whitening has a variety of options that range from a simple cleaning that can brighten teeth to an actual procedure or home techniques that might create the bedazzled smile you need. One consultation visit maybe good enough to know what is right for you.

3. Big or Crooked Teeth
Some of us may have misshapen teeth that don’t suit our face. If you have defects in size and shape giving you a less than perfect smile, a simple contouring procedure may be just fine. If your teeth have mild flaws, they can be slightly contoured in a quick and painless process making teeth look more aligned and symmetrical.

4. Chipped Teeth or Gaps in your teeth
Mild discrepancies like gaps, crooked or broken teeth can be corrected by tooth fillings that are bonded to an ideal shape, size and colour onto your teeth.Dental bonding fixes gaps, spaces that are in between front teeth to make the teeth look younger and more beautiful. We will mock up the appearance of your teeth so you can preview the obtainable results.

1 MONTH – 6 MONTHS
1. Small Teeth
If you are not happy with the size of your teeth and that has restricted you from smiling your heart out. Then one way you could correct your smile is with veneers. Veneers are thin facings just like cosmetic lenses which cover the teeth 180 degrees in the front to give a perfect shape size and colour. They can be made in a variety of materials which can be customized without harming your teeth and also last longer.

2. Gummy Smile
When you smile and too much gum tissue is exposed. Sometimes the teeth are also exposed even when you are not smiling. The ratio between the lips, gum and teeth are not balanced. Fortunately, your gummy smile can easily be corrected by a gummy smile correction with a simple laser procedure. In 2-3months you can get to adorn a smile you are happy with.

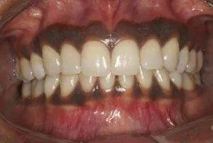
3. Pigmented/ Dark Gums
Even a slight darkening or blackening of the gums could make you highly self-conscious about your face, especially your smile. Just as skin colour comes in a variety of shades, gums do too. You may want to express your confidence and style by redesigning your smile. If that’s the case, consider gum bleaching! A couple of months prior to the big day, gum lightening can help you achieve your dream smile.

6 MONTHS AND MORE
1. Jaw and Bite Problems
Most people do not want to go through the trouble and discomfort of wearing the Metal Braces. A great technology that not many people know of is Invisible Aligners. Most people assume aligning or straightening teeth involves wearing ugly metal braces! A year before the wedding we can achieve corrections in Teeth position with Invisible removable braces called Invisalign.




















































