GENERAL SERVICES
PREVENTION BETTER THAN CURE

Though brushing and flossing helps remove food particles and plaque from the smooth surfaces of teeth, but toothbrushes can’t reach all the way into the depressions and grooves to extract all food and plaque. Sealants are a thin, plastic coating that are painted on the chewing surfaces of teeth- usually the back teeth (molars and premolars) – to prevent decay.
It quickly bonds into the depression and grooves of teeth forming protective shields over the enamel of each tooth, preventing any food from lodging there and thus preventing tooth decay! Typically, children are more prone from ages 6 to 14years, so are recommended to get the sealants on the permanent premolar and molars. Dental sealants can protect their teeth from decay for up to 10 years. They need to be checked at regular dental check-ups to make sure they are not chipped or worn away which can be repaired by adding more sealant material.

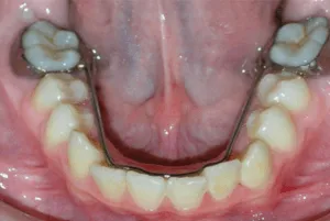
Your baby’s milk teeth are important place-holders for your permanent teeth. As their permanent teeth come in, they will take up the space left by the loss of the baby teeth. Often baby teeth are lost early as a result of tooth decay or accidents. This early loss creates a space. This space needs to be saved in order for the permanent tooth to come in straight. The dentist can save the space by putting in a space maintainer (spacer). When the permanent tooth is ready to come in, the space maintainer is removed.
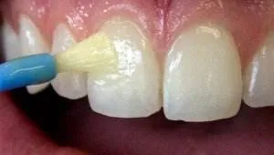
It can be either removable or in a child’s mouth. Space maintainers are an important treatment option for children because they can help reduce or even eliminate the need for future orthodontic work such as braces later on in your child’s life. Fluoride varnishes painted onto teeth twice a year can help reduce the cemented chances of decay. Please try not to drink anything hot, like tea or coffee, or eat sticky foods for 4 hours. The hot d rinks will remove the fluoride from your teeth, as will the sticky foods. Cold drinks and most non-sticky foods will not fluoride affect the treatment and can be eaten immediately after your appointment.

The loss of enamel is balanced by remineralization. In this process, minerals in the saliva, such as fluoride, calcium and phosphate, are deposited back into the enamel.
Too much loss of minerals without enough replacement leads to tooth decay. The addition of these minerals helps to keep your enamel strong and safe from decay. Second, fluoride helps to control the acid inside your mouth.
Fluoride varnishes painted onto teeth twice a year can help reduce the chances of decay.
Please try not to drink anything hot, like tea or coffee, or eat sticky foods for 4 hours. The hot drinks will remove the fluoride from your teeth, as will the sticky foods. Cold drinks and most non-sticky foods will not affect the fluoride treatment and can be eaten immediately after your appointment.