We have heard it all about why smoking is bad and quitting is the solution but try convincing a smoker despite all this knowledge they know what’s right but just don’t have the will to quit even if their life depends on it. For the motivated self critical few who are still open to getting some help here we are giving them few more reasons to kick that cigarette butt, and in case they can’t read on to find solutions that minimize the hazardous effects that smoking leaves us with.
SMOKERS BREATH
Ever tried being intimate with someone or even coming home reeking of nicotine ? Your fore finger, your hair, clothes and breath seem to have a stench that refuses to leave. Be it Mouth freshener sprays, mints or gums it all seems in short supply as each nicotine blast seems to need a fresh load of minting up! For those of you who have kids or parents who do not approve you know what a challenge masking your nicotine breath is. As a smoker your oral hygiene measures have to be amped up going all the way with motorized brushing, tongue cleaning ,using mouthwash and even flossing being a part of your routine.

STAINS ON TEETH
Imagine having two dentists – we have had patients who get their teeth cleaned and report to us just so we wouldn’t know that they’re smokers or vice versa they come in get their teeth cleaned and go to their dentist who is probably a relative or parent and wouldn’t approve of their habit. Smokers tend to be especially conscious of their stains which start from the back and inside of the teeth coming on to the front surfaces as well depending on the intensity of the habit. A quarterly cleanup is recommended with exceptional oral hygiene to reduce the build up of stains.
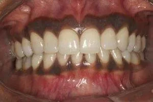
DARKENING OF GUMS
Among other effects a smoker is well aware that nicotine can increase melanin production and cause your gums and lips to darken to an unpleasant colour. Mild colour changes may include a bluish purple discolouration starting on the gums and lips which slowly turns into a deeper chocolate brown. Fortunately now we have a very easy solution for gum lightening called laser pigmentation – a simple and easy way of erasing the discolored pigments from your gums and bringing back the pink healthy appearance despite the habit. Of course the condition recurs if the smoking continues.

GUM DISEASE
Smokers are at a greater risk of gum disease and have poor healing due to the reduced blood supply that gums and other structures receive. Smoking produces a constricting effect on blood vessels this allows bacteria to grow unhindered without blood products that can fight the infection and heal the areas.
THE RISK OF CANCER
There maybe several small inconveniences like bad breath, stains and unaesthetic changes in your smile – those you can live with or have solutions for but the real threat or risk that all smokers are in denial about despite numerous warnings is –CANCER. The C-word is often ignored with justifications like “not like I smoke a pack a day” or “this cannot happen to me”.

As a smoker it’s important to know that smoking doesn’t produce cancer overnight it tends to present as a few changes in the mouth which are precancerous in nature. The changes to watch out for are any lesions, patches or outgrowths which are red, purple or white in nature. Keeping a constant check or getting regular assessments may still save you at a stage when the condition is reversible. So quitting the habit would be the best course of action but if you cant then keep these solutions in mind and Smoke responsibly. If you want to get away with one bad habit you may have to inculcate a few new ones to compensate it with.
If you’re feeling somewhat self-conscious about your teeth or just want a more beautiful smile, call us at 7045497915 or email us at info@thepainfreedentist.co.in