Many people think cavities can only be treated by dental fillings. But that’s not true. Read about these 5 conditions when it is not required.
Dental fillings typically consist of a mixture of metals, plastics, glass, or other materials In order to fix or restore teeth. It is used to fill the cavity where your dentist removed a portion of your tooth due to decay. Traditionally, dentists used to fill every cavity. However, as technology and research have advanced, there are a number of additional solutions accessible. There are also several conditions in which dental fillings aren’t actually necessary.
Due to how painful and uncomfortable dental fillings are, a majority of people even try to avoid getting them. So, we break down a few problems that do not require tooth fillings but can be treated with a preventive dental routine.

Here are 5 conditions that can be treated without dental filling
1. Hypocalcification (White spots on teeth)
These are the most typical enamel flaws that don’t need to be treated because they just point to a calcium deficit during development and can be ignored. There are simpler methods to lighten or conceal these stains if they are uncomfortable. A filling can be done for this only if all else has failed.

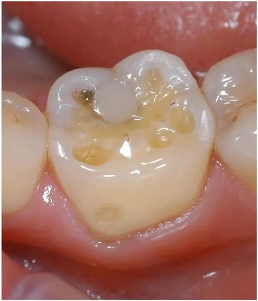
2. Non-cavitated decay
The term cavity literally means breach in the surface of the tooth and refers to a decayed tooth that has been caused by bacterial activity. If there isn’t a breach, decay has only started, it can be stopped. Or at the very least, kept under control and observed with appropriate dental hygiene practices.
Every dentist does a decay test to see if cavities have formed; only then is an intervention recommended; otherwise, strict oral hygiene guidelines are implemented, with the exception of youngsters who are unable to care for their own teeth.

3. Arrested decay
When the degradation process has stopped in its tracks and there are no visible bacterial lesions, the situation can be left as it is. This call is taken based on the patient’s oral hygiene status. If they can maintain their teeth and don’t have a tendency of rampant decay, it’s best to leave arrested decay under observation

4. Abrasion facets
Particularly on the chewing surfaces of the back teeth, teeth can exhibit these self-cleaning saucer-like flaws as they age or are subjected to heavy pressures. These can be completely asymptomatic or only slightly sensitive, making fillings unnecessary. Biting forces in such patients should be actively managed so that they are no longer stressful and the abrasion process can be stopped from progressing.
If the symptoms become unbearable or if the bite requires correction by the addition of restorative materials, intervention can be planned.

5. Enamel chips
Instead of adding fillings, tiny chips or uneven enamel surfaces can always be fixed by a technique of smoothing over or reshaping these areas.
.png)
How to tell if you need a dental filling?
Dental filling (deeper filling until the root will be recovered) and additional treatment may be necessary if there is deep decay closing on the tooth’s nerve with pain, swelling, or pus. Treatment delays and unmanageable areas may result in future issues, such as significant tooth structural loss or chronic pain
If you’re feeling somewhat self-conscious about your teeth or just want a more beautiful smile, call us at 7045497915 or email us at info@thepainfreedentist.co.in